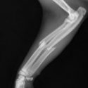
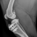
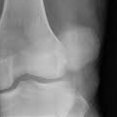
Wij komen regelmatig afwijkingen en ziekten van het steun- en bewegingsapparaat tegen. Ziekten aan het bewegingsapparaat worden vaak gekenmerkt door pijn; dieren komen niet overeind, bewegen minder of kunnen kreupel lopen. Soms is het noodzakelijk om röntgenfoto’s te maken om de oorzaak van de kreupelheid op te sporen. Hiervoor beschikken wij over een digitaal apparaat. Indien nodig kunnen röntgenfoto’s gemakkelijk met specialisten overlegd worden.
Vaak zal een bewegingsadvies gecombineerd met geschikte medicatie een oplossing bieden. In sommige gevallen zal een operatie noodzakelijk zijn om de klachten te verhelpen.
Vaak zal een bewegingsadvies gecombineerd met geschikte medicatie een oplossing bieden. In sommige gevallen zal een operatie noodzakelijk zijn om de klachten te verhelpen.





