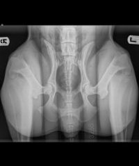
Heupdysplasie
Heupdysplasie is een pijnlijke gewrichtsaandoening van de heupen. We zien heupdysplasie voornamelijk bij de grotere hondenrassen maar ook bij kleinere honden kan het voorkomen.
Als een hond heupdysplasie heeft, past de heupkop niet goed in de heupkom of zit deze te los. Hierdoor kan de heupkop geheel of gedeeltelijk uit de kom schieten. Het eruit schieten doet pijn. De kans op artrose van de heupen neemt toe naarmate de heupkop minder strak in de kom zit. Dus hoe meer speling in het heupgewricht, hoe groter de kans op artrose. Op oudere leeftijd kan deze artrose voor pijnklachten zorgen.



